Echoエコーガイド下鍼灸治療とは

“見えるから安心”エコーガイド下鍼灸治療。
エコーガイド下鍼灸治療とは、超音波エコーを用いて体内の筋肉・神経・血管の位置をリアルタイムに確認しながら行う鍼灸施術です。
可視化することで、痛みの原因を正確に特定し、安全かつ精密な施術が可能になります。
深部の筋膜や神経痛にも効果的です。
Reason選ばれる理由

Reason 01.
専門性の高い
エコーガイド下鍼灸治療
超音波エコーを用いて、筋・筋膜・神経の状態を確認しながら行うため、原因に対して正確にアプローチできます。一般的な鍼灸では届きにくい深部の問題にも対応できる、高い専門性が強みです。

Reason 02.
資格・経験に裏付けられた
エコー操作技術
エコー操作には専門知識と技術が必要で、誰でも簡単に扱えるものではありません。当院の院長は、豊富な臨床経験と習熟したエコー操作スキルを持ち、より安全で確実な施術を提供します。

Reason 03.
痛みの原因を“可視化”
してわかりやすく説明
腰痛・ヘルニア・神経痛・筋肉損傷など、痛みの原因をエコー動画で患者さまに提示。見えない不安を取り除き、納得して治療を受けられるよう丁寧に説明します。
Symptomsエコーガイド下鍼灸治療の症状一覧
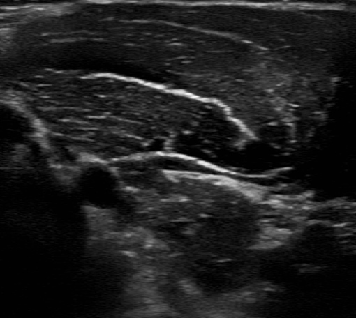
肩こりへの超音波エコーガイド下鍼
肩周囲の筋肉や神経をエコーで確認し、こりや痛みの原因部位へ的確に鍼を行います。深部の慢性肩こりにも対応します。
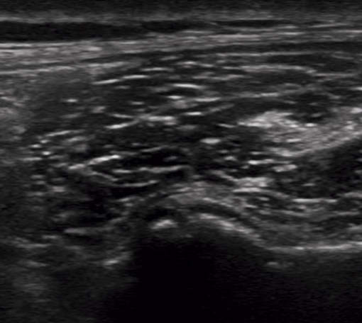
腰痛への超音波エコーガイド下鍼
腰部の筋・神経の状態をリアルタイムで確認し、原因に直接アプローチ。ぎっくり腰や慢性腰痛にも安全に施術します。
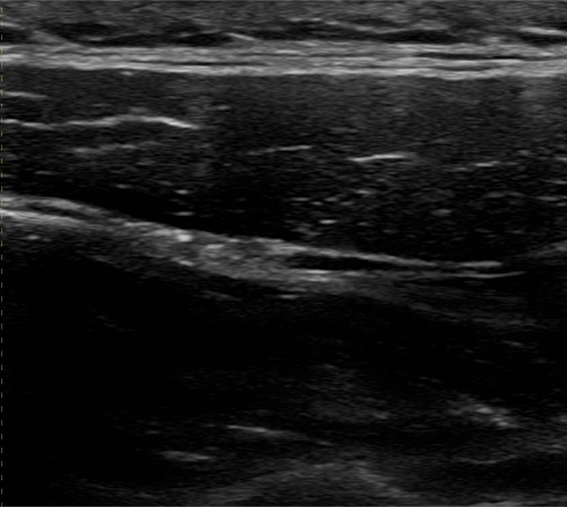
前腕~手関節部痛への超音波エコーガイド下鍼
前腕や手関節の筋・腱・神経を可視化し、細かな痛みの原因を特定。腱鞘炎や使い過ぎによる痛みに対応します。
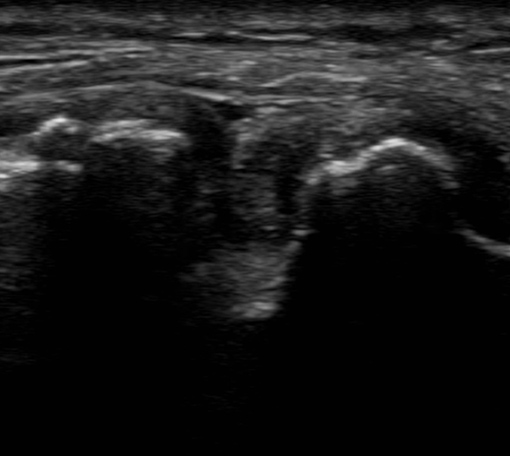
膝痛への超音波エコーガイド下鍼
膝周囲の筋肉・靱帯・神経の状態を確認しながら施術。原因を見極め、歩行時の痛みや違和感を改善へ導きます。


